Rumah>Berita
Tindak lanjut 2 tahun | MemoSorb Biodegradable ASD occluber
-
2025-08-11
-
LEPU
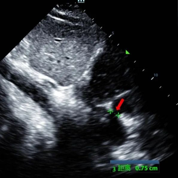
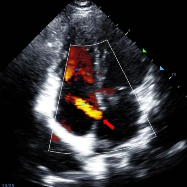
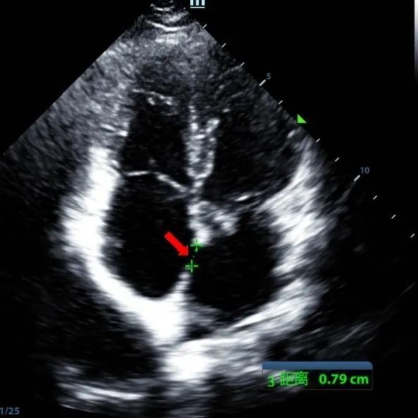
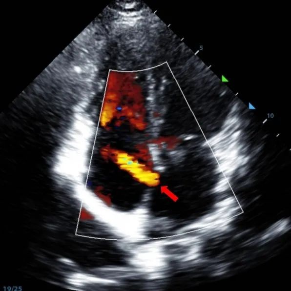
Laki-laki 9 tahun dengan secundum ASD (7.5-7.9mm) diperlakukan menggunakan MemoSorb BDASD-I 12mm occluber dan sistem pengiriman 12F. Tidak ada penyakit komplikasi atau komposit, pra-prosedur.
Serial echocardiographic follow-ups showed stable device position and favorable cardiac remodeling. Gradual degradation confirmed the occluder's long-term safety and efficacy.
Contact us>>Marketing@lepu-medical.com
Visit lepumedical website for more >>En.lepumedical.com




