Good News!丨Lepu Vesscrack IVL Balloon Enables Successful Coronary Calcification Treatment in Chile
-
2025-09-02
-
LEPU
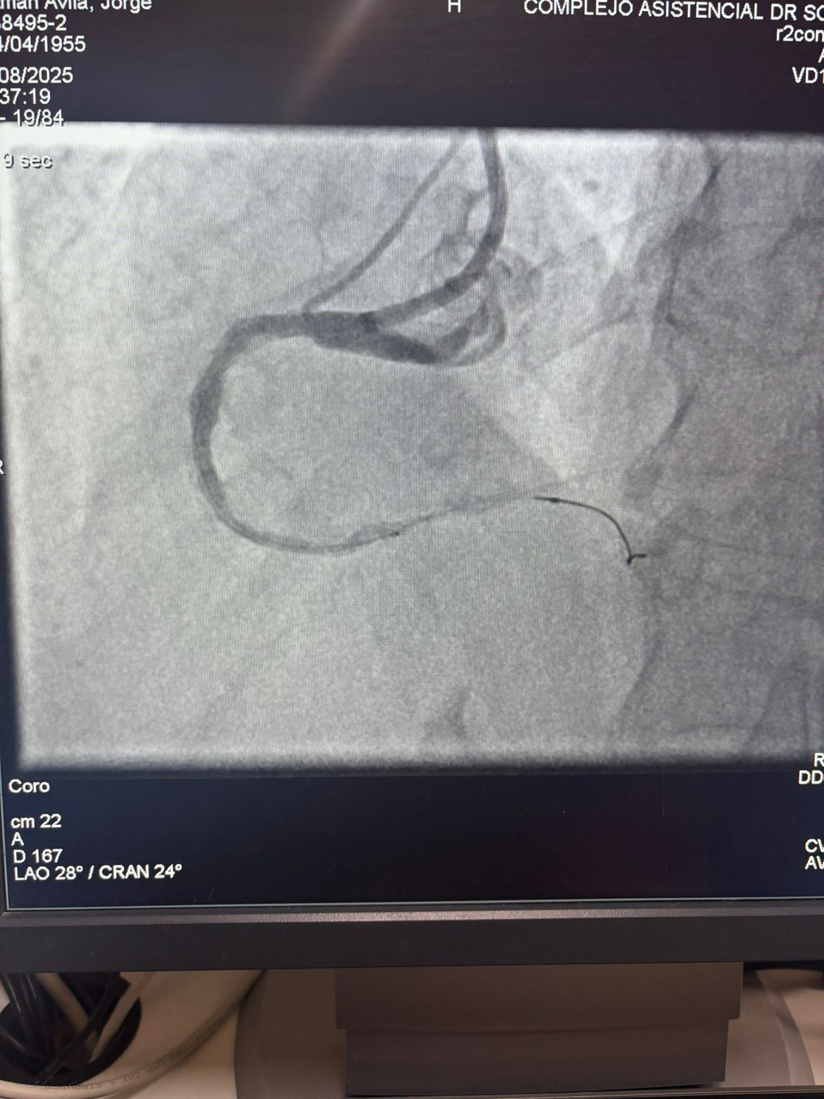
We are proud to share a remarkable case from Hospital Sótero del Río, Chile, where Dr. Martín Valdebenito successfully treated a heavily calcified lesion in the right coronary artery (first curve) using our Vesscrack Coronary IVL Balloon Dilatation Catheter System.
The procedure achieved outstanding results, with the calcified region effectively cracked and vessel flow restored. This marks another milestone in expanding global access to advanced solutions for complex coronary calcification.
The comparison between the pre-procedure and post-procedure angiographic images clearly demonstrates the significant clinical impact of our IVL technology.
At Lepu Medical, we remain committed to empowering physicians worldwide with innovative solutions that transform challenging cases into successful outcomes.
Contact us>>marketing@lepu-medical.com
Visit lepumedical website for more >>en.lepumedical.com




***This product is presented for academic exchange purpose only and is not intended for sale within European Union.***
