Berbagi casing | Penutup PFO terowongan panjang dengan MemoSorb Biodegradable occluber
-
2025-04-28
-
LEPU
30-Year Migraine Relief & 1-Year Follow-Up: Long-Tunnel PFO Closure with MemoSorb Biodegradable Occluder
Today, we share a remarkable case highlighting 1-year post-op outcomes of MemoSorb in treating a complex long-tunnel PFO (12mm length, 1.4mm width), with a focus on serial echocardiographic evidence of device degradation and clinical symptom resolution.
Pelindung sorotan
Profil pasien: 53F, 30 tahun sejarah migrasi (sering unilateral, tahan lama ke hari), 2 lembar syncopal.
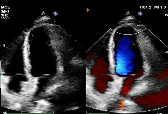
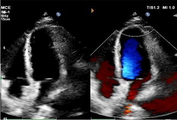
Diagnosis: studi gelembung positif.
Implan: 2424 MemoSorb®PFO occluber biodegradable disebarkan di bawah panduan gema dan DSA.
Temuan pencitraan tindak lanjut kunci
Hari 1 sampai 9 bulan:
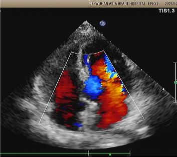
Tidak ada sisa shunt muncul.
Pengurangan bertahap pada kesopanan perangkat.
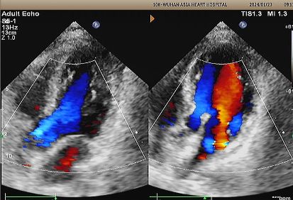
Gema 1 tahun:
No visible disc structures – replaced by 8mm tissue thickening at the septal implant site.
Zero residual shunt (rest or post-Valsalva).
Penyerapan perangkat lengkap dikonfirmasi.
Hasil klinis:
1. Migraine frequency/severity significantly reduced post-implant.
2. No recurrence of syncope or neurological symptoms.
3. Patient-reported improved quality of life.
Contact us>>Marketing@lepu-medical.com
Visit lepumedical website for more >>En.lepumedical.com




