Berbagi kasus | MemoSorb biodegradable PFO occluber berhasil menangani terowongan PFO penutupan ultra-panjang 33mm
-
2024-12-27
-
LEPU
Case Sharing | MemoSorb biodegradable PFO occluder successfully tackles the 33mm ultra-long tunnel PFO closure
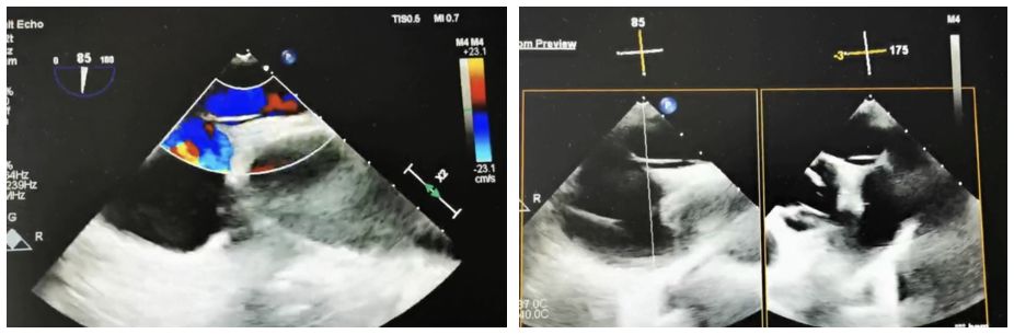
Case Information: A 60-year-old male patient was admitted to the neurology department after experiencing "left-sided limb weakness". The patient underwent a routine transesophageal echocardiogram (TEE), which revealed a patent foramen ovale (PFO) (congenital type, 2.4mm in width, 33mm in length, with moderate shunting). Right heart echocardiography and bubble tests confirmed a grade II shunt.
Strategi klinis: Kami memilih BDPFO-I 2828 occluber simetris untuk memastikan penutupan yang optimal. Selama fase rilis, pencitraan DSA digunakan untuk penentuan posisi, sementara panduan ultrasound terutama digunakan untuk memastikan penyebaran yang akurat.
Ringkasan casing: karena panjang terowongan, panduan kabel kateter konvensional dan dukungan selubung tusukan septal tidak efektif. Secara khusus, kawat panduan koroner digabungkan dengan selubung tusukan septal digunakan dalam kasus ini dan berhasil melintasi septum. Saat menggunakan occluters metalik tradisional untuk penutup PFO terowongan panjang, bahan kaku dan posisi pinggang tetap sering mencegah disk kiri berkembang sepenuhnya. Hal ini dapat menyebabkan cakram ditarik ke dalam terowongan, menyebabkan pengemudian sisa. Sebaliknya, biodegradable occluber, dengan kepatuhan yang kuat, memungkinkan pinggang untuk sepenuhnya mengisi terowongan dan mencapai penutupan yang efektif.
Penutupan yang berhasil ini semakin validasi efektivitas dari coccluters biodegradable dalam mengobati kasus PFO yang kompleks.
Contact us>>Marketing@lepu-medical.com
Visit lepumedical website for more >>En.lepumedical.com



