Sorotan klinis | Perawatan multi-aneurysm dengan Nuva®Pengalih aliran dan Perdenser®Sistem kumparan embolik
-
2025-07-23
-
LEPU
Pasien: wanita, 48 tahun
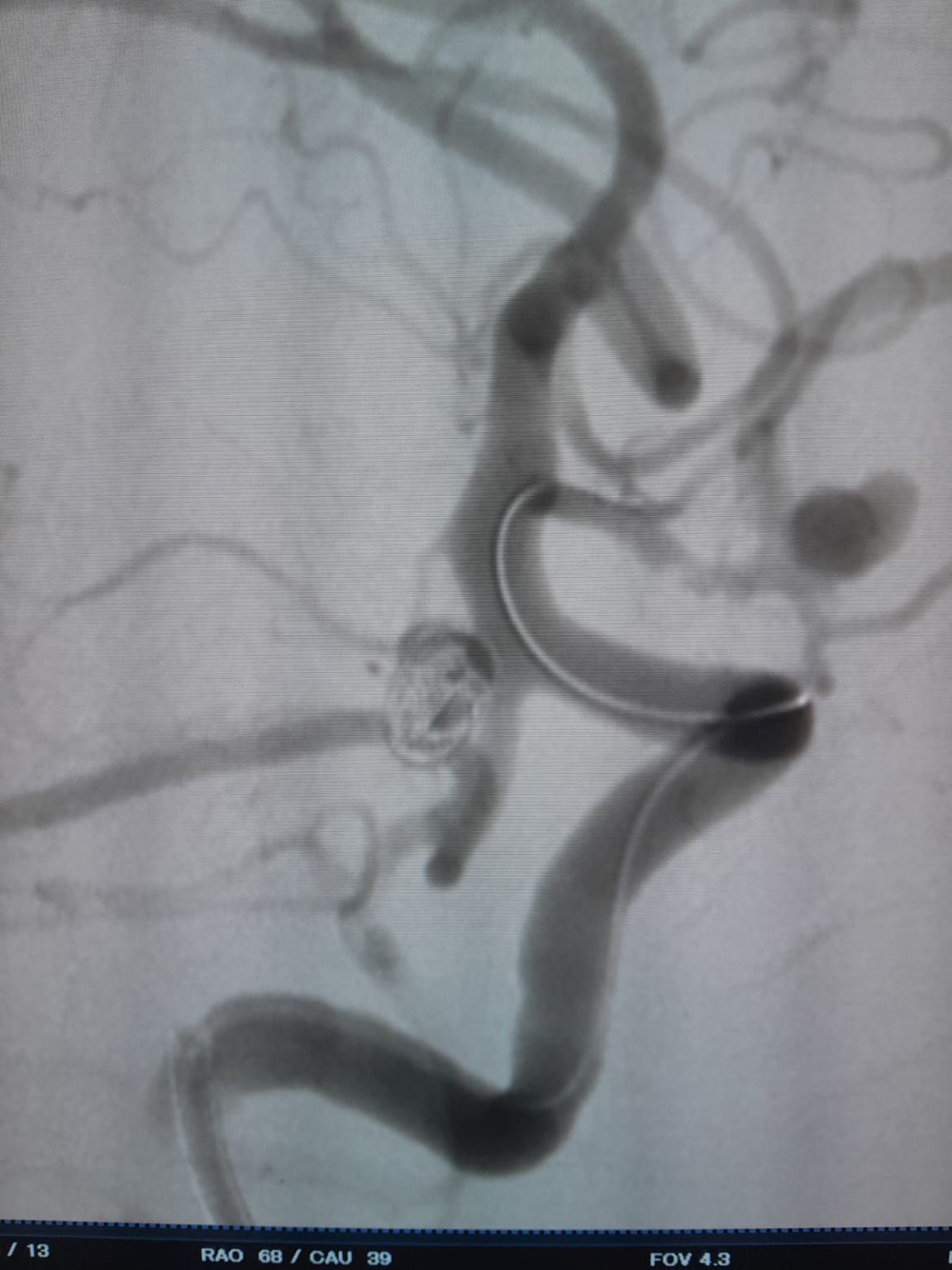
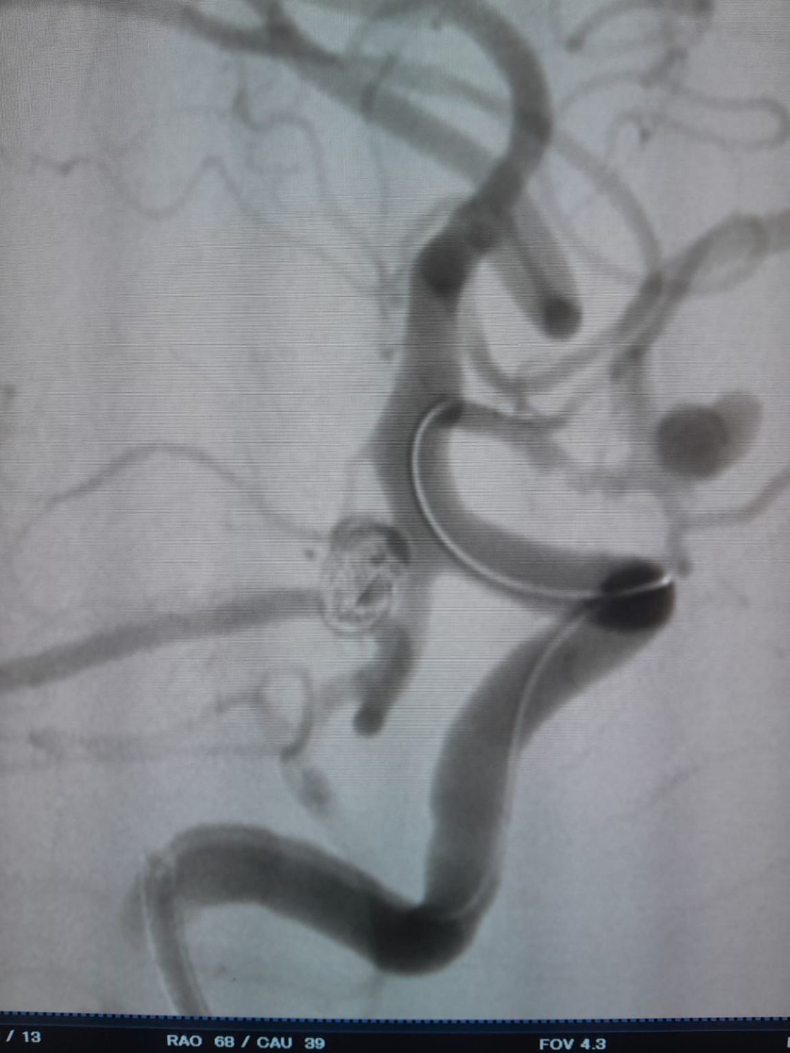
Pasien disinkronkan dengan aneurysm yang baru ditemukan di barisan depan berkomunikasi (AComA) sakular aneurysm dan posterior berkomunikasi arteri (PComA) aneurysm yang sebelumnya telah diperlakukan dengan embolisasi koil. Pencitraan tindak lanjut membuka sisa mengisi PComA aneurysm, membutuhkan intervensi tambahan.
Prosedur
Aneurysm arteri berkomunikasi depan
Akses vaskular didirikan dan tim kemudian berhasil navigasi Frepass®Mikkateter sekali pakai (TJMC14) ke situs target. Embolisasi dilakukan dengan tiga Perdenser®Sistem kumparan embolik (TJCST4.508-3D, TJCST0306-3D, TJCST0206-3D) ditempatkan dengan Deromper®Pengendali pelepasan kumparan (TJCDC).
Posterior berkomunikasi arteri Aneurysm (pengobatan kembali)
Selama tindak lanjut, pengisian sisa dicatat dalam BAL yang sebelumnya diperlakukan WC berkomunikasi arteri aneurysm. Tim diakses ulang situs menggunakan freefpass®Mikkateter sekali pakai (TJMC18 Plus) dan berhasil menggunakan Nuva®Pengalih aliran (TJED-D-4.5-16), yang menunjukkan posisi dinding yang ideal dan pengalih aliran yang sangat baik, menyebabkan hasil perawatan yang sangat memuaskan.
Perdenser®Dan Nuva®-Solusi yang andal untuk manajemen Aneurysm yang kompleks
Perdenser®: Embolisasi presisi dan kepadatan tinggi
Kompatibilitas yang sangat baik dan kepadatan kemasan yang tinggi untuk oklusi aneurysm stabil.
Berbagai macam ukuran untuk pemasangan, pengisian, dan penyelesaian.
Deromper®Sistem pelepasan menyediakan mekanisme pelepasan instan yang aman dan andal.
Nuva®: Solusi efektif untuk Aneurysms berulang
Sebuah solusi efektif untuk aneurysms dengan sisa pengisian atau kegemaran setelah koil awal.
Navigasi yang lancar dan peluncuran yang andal.
Apposisi dinding yang sangat baik dan pengalih aliran yang stabil.
Nuva®Menyederhanakan retreatment, mengurangi kompleksitas resisural, dan meningkatkan hasil jangka panjang.
Dr. Rivera highly praised the handling, deliverability, and clinical results of TJWY's products, emphasizing their efficiency and reliability in complex aneurysm interventions. The smooth procedural experience and favorable imaging outcomes further strengthened his confidence in TJWY's neurointerventional solutions.
Contact us>>Marketing@lepu-medical.com
Visit lepumedical website for more >>En.lepumedical.com




