Kisah pelanggan

Produk
IFU
EN-id
EN-id
Rumah>Berita

Berbagi kasus | Kalibrasi arteri anggota tubuh bawah parah diperlakukan dengan thorretak perifer IVL

2025-09-11
LEPU
Berbagi kasus | Kalibrasi arteri anggota tubuh bawah parah diperlakukan dengan thorretak perifer IVL

Kontainer profil

· Jenis Kelamin: Wanita

· Usia: 53 tahun

·Chief Complaint: Bilateral foot necrosis with black discoloration for >6 months

· Sejarah medis masa lalu: hemodialisis jangka panjang untuk penyakit renal, hipertensi, dan diabetes itus dengan kontrol jangka panjang yang buruk

Temuan klinis

· Pemeriksaan fisik: denyut femoral lemah; Tidak ada popliteal dan denyut pedis dorsalis; Koreng pada kiri jari kaki pertama; Solenoid pada kanan pertama dan kedua

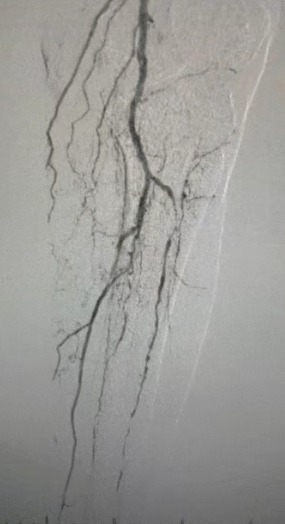
· Pencitraan preoperatif: menyebarkan stenosis parah, menyebarkan kalfikasi dalam jalan setapak anggota bawah bilateral

Pengobatan pendekatan

Mengingat kondisi vaskular yang kompleks, kami memilih sistem saluran masuk kateter balon ThorCrack periferal. Karena toleransi terbatas pasien, mengadakan prosedur intervensi pada anggota tubuh bawah dilakukan.

Hasil bedah

Prosedur pasca, stenosis arteri meningkat secara signifikan, aliran darah meningkat, dan suhu kulit mawar. Tidak ada terjadi komplikasi setelah operasi. Baik pasien maupun tim bedah sangat puas dengan hasilnya.

Kasus ini menyorot terobosan besar dalam pengobatan invasif minimal untuk arteriev anggota tubuh bawah parah, memberikan solusi yang lebih efektif untuk kasus yang menantang.



1759048251976707.jpg


1759048251152298.jpg


1759048251512112.jpg


1759048252208665.jpg


1759048252993199.jpg



Kirimkan